-
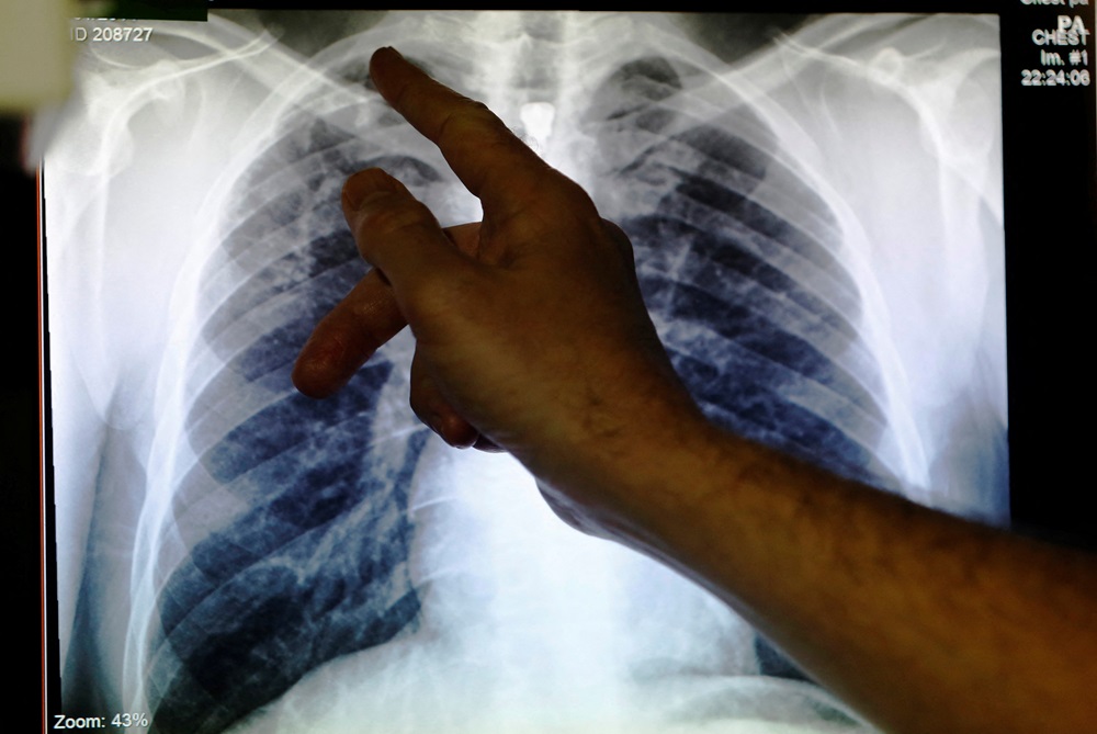
Clinical lead doctor points to an x-ray showing a pair of lungs infected with TB.
Professor Limakatso Lebina, Director of Clinical Trials at the Africa Health Research Institute, says it’s important for South Africa to prepare early for rolling out new TB vaccines, which are currently undergoing clinical trials.
The institute, in northern KwaZulu-Natal, is one of the sites for the M72 Vaccine Trials which are also being conducted in six other countries.
Professor Lebina says the trial results are expected in three or four years from now.
“We have come together to form the TB vaccine preparedness consortium. There’s no strong immunisation programme for adolescents and adults. We are discussing those with the Health Department to say what is the best approach to reach the people that need the vaccine the most,” explains Lebina.
VIDEO | Rise in new TB infections in people, who are not HIV positive:
